How we can help

The leading specialists in the treatment of complex and persistent pain and spinal conditions

To book an appointment please call us 07895 176536

Relieving pain and treating spines is why we get up in the morning. Of course we can't fix everyone all of the time, but you can always be better!

At The Centre for Physical medicine we can help with almost all injuries and conditions of the spine. We also treat shoulder, hip, knee and foot problems; particularly when they are involved in causing problems or pain elsewhere in the body.


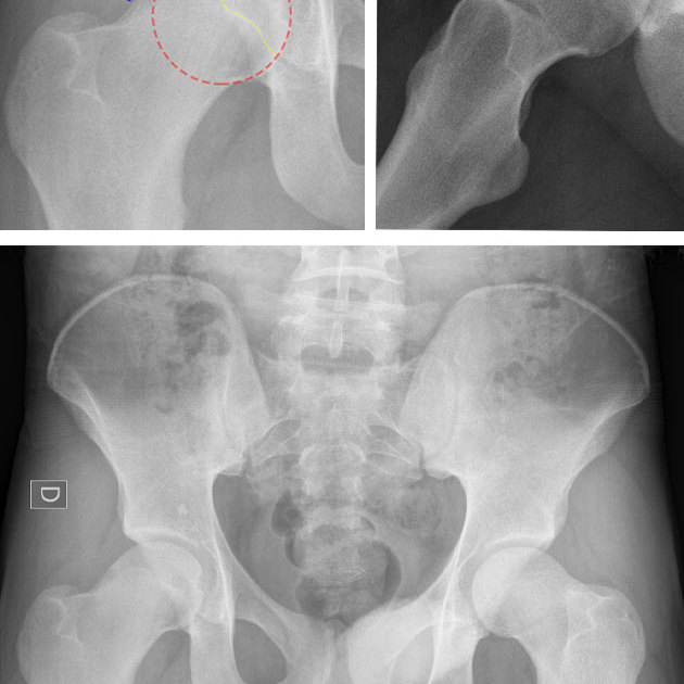
We have rapid access to all types of imaging if necessary. We also run a weekly multi disciplinary team meeting. It is an enviable academic environment and is attended by orthopaedic and neuro-surgeons as well as sports physicians and rheumatologists, osteopaths and other physical therapy colleagues who are specialists in their fields. We present difficult cases or second opinion cases. It is available to our patients.

We only work with the best people in their fields, if referral, further tests or investigation are necessary. So we have built our 'little black book' of great people.

With your permission, we always keep other colleagues, who are involved in your care 'in-the-loop' as we feel good communication and collaboration are vital.

Back & Neck Pain

Back and Neck Pain is a tricky and fickle creature. It can appear from nowhere and be gone just as quickly, or hang around for months or years. It demoralises the mind and induces a feeling of being ancient within days. If it hangs around long enough, it can even affect your sleep, libido and ability to make decisions. It costs the UK £5 billion annually and 85 % of the population will suffer with it at least once in their lives.

So that is the bad news, but...

READ MORE

“I just wanted to take the time to write to you to thank you for the advice and support you gave me regarding my back and potential future treatment for it. I can only imagine how busy you must be at the moment, on top of your ‘day job’ (I read about Bakpro in the Telegraph, so I can’t be the only one getting in touch) and the fact that you took the time out of your day to ring me has truly touched me. It is very rare that someone responds quite so decently as you did, especially as you were very careful not to pressure me into a situation where you could easily have made a quick buck.You have spurred me on to take a more positive outlook on my back and seize the initiative as you advised. Thank you.”

H.
Appointments

To make an appointment please call us on 07895 176536.

Or alternatively please complete the form below and we will get in touch as soon as possible.